DRHC Dubai Dental Clinic-1

Laser Gum Depigmentation (Gum Whitening) at DRHC Dubai

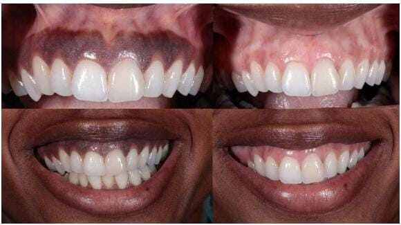
Gum Depigmentation, also known as gum bleaching or gum lightening, is a cosmetic dental procedure aimed at removing dark pigmentation from the gums. At DRHC Dubai, we specialize in advanced laser gum depigmentation treatments, providing a safe, quick, and highly effective solution for patients looking to enhance the aesthetics of their smile. Whether your gum discoloration is due to genetic factors or lifestyle habits like smoking, we can help you achieve healthier-looking, pink gums with the most cutting-edge techniques.

Understanding Laser Gum Pigmentation

Dark gums are typically the result of excessive melanin production, which can cause the gum tissue to appear brown, black, or patchy. Though this pigmentation is harmless, many people seek treatment for cosmetic reasons, as darker gums can make the teeth appear dull or affect the overall appearance of the smile. Common causes of gum discoloration include:

  • Genetics: Some individuals naturally have more melanin in their gums.
  • Smoking: Tobacco use can contribute to darker gum tissue.
  • Medical Conditions: Certain medications and health issues can result in pigmentation changes.
  • Amalgam Tattoos: Metal fillings or dental work can sometimes leave dark spots on the gums.

If dark gums are impacting your confidence, laser gum depigmentation offers an excellent way to restore a more balanced and vibrant appearance to your smile.

What is Laser Gum Depigmentation?

Laser gum depigmentation is a non-invasive and precise procedure designed to remove excess pigmentation from the surface of the gums. Using a dental laser, our specialists at DRHC Dubai gently remove the darkened outer layer of the gum tissue. The laser stimulates the growth of new, healthy tissue, revealing a more natural, pink gum tone. The procedure is quick, with minimal discomfort, and provides long-lasting results.

key Benefits of Laser Gum Depigmentation

Laser treatment for gum depigmentation offers several advantages over traditional methods:

  • Minimally Invasive: The laser technique eliminates the need for surgical incisions, significantly reducing recovery time and risk of complications.
  • Precise Targeting: The laser precisely removes pigmented areas without damaging surrounding healthy tissue.
  • Painless Procedure: Most patients report feeling little to no pain during the treatment. For added comfort, a local anesthetic may be applied.
  • Fast Results: The procedure can often be completed in under an hour, and patients typically see noticeable improvements after just one session.
  • Quick Recovery: Because the laser encourages faster healing, patients can return to their normal routine almost immediately after treatment.
  • Safe and Effective: Laser technology is known for its safety, offering a reliable and effective solution for gum discoloration.

What to Expect Before, During, and After the Procedure

  1. Consultation: Your journey begins with an in-depth consultation with our skilled dental team at DRHC Dubai. During this consultation, we will evaluate your gum health, discuss your aesthetic goals, and develop a personalized treatment plan.
  2. Procedure: On the day of the procedure, your gums will be cleaned, and local anesthesia may be applied to ensure your comfort. The laser will then be used to target and remove the pigmented areas of the gum. The treatment is precise, meaning the laser only affects the discolored tissue while leaving healthy gum tissue intact.
  3. Post-Treatment Care: After the procedure, your dentist will provide you with specific aftercare instructions to ensure optimal healing. While most patients experience minimal discomfort, you may notice mild sensitivity in the treated area for a few days. Any discomfort can be easily managed with over-the-counter pain relief.
  4. Results: The results of laser gum depigmentation are often immediate, with patients noticing a lighter, more uniform gum color. The results can last for years, depending on lifestyle factors such as smoking and oral hygiene.

Who is a Candidate for Laser Gum Depigmentation?

You may be a good candidate for gum depigmentation if:

  • You have dark or uneven pigmentation on your gums.
  • You are a smoker and have developed dark gum tissue as a result.
  • You have no underlying gum diseases or serious dental conditions.
  • You desire a more aesthetically pleasing and confident smile.

Laser gum depigmentation is generally suitable for most patients, but a consultation with our dental team is the first step in determining whether this treatment is right for you.

FAQs About Gum Depigmentation

Is laser gum depigmentation painful?

Laser gum depigmentation is generally painless, and most patients experience little to no discomfort during the procedure. For added comfort, local anesthesia may be used.

How long does the procedure take?

The procedure typically takes between 30 to 60 minutes, depending on the extent of pigmentation.

How long do the results last?

The results of laser gum depigmentation are long-lasting. However, certain lifestyle factors, such as smoking, may cause pigmentation to return over time.

Is there any downtime after the procedure?

There is minimal downtime following the procedure. Patients can usually resume normal activities immediately, though some may experience mild sensitivity for a few days.


Why Choose DRHC Dubai for Gum Depigmentation?

At DRHC Dubai, our mission is to provide world-class dental care using the latest technology and techniques. When it comes to gum depigmentation, we prioritize both the aesthetic outcome and the overall health of your gums. Our expert dental team has extensive experience in laser treatments, ensuring that you receive the best care possible. Here's why you should choose us:

  • State-of-the-Art Technology: We use advanced dental lasers that are designed for safe, precise, and effective gum depigmentation.
  • Experienced Dental Team: Our specialists are highly trained in both cosmetic and general dentistry, providing a comprehensive approach to your dental health.
  • Comfortable Environment: Your comfort is our priority. We provide a relaxing and stress-free environment, ensuring your treatment experience is smooth from start to finish.
  • Tailored Treatment Plans: Each patient receives a customized treatment plan based on their unique needs and aesthetic goals.

Book An Appointment

If you're interested in gum depigmentation and want to enhance the appearance of your gums, contact DRHC Dubai to schedule your consultation call at +97142798200. Our team is here to guide you through the process, answer any questions, and help you achieve the smile you’ve always wanted.

BOOK AN APPOINTMENT

Whatsapp